Resultados Reais

Veja na prática como um sorriso pode mudar

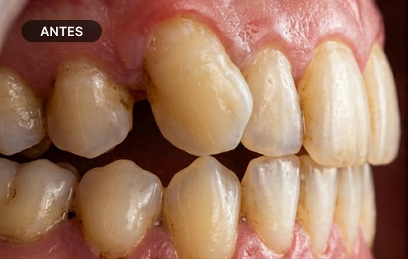
Tenha um sorriso
mais branco e natural

Depois do resultado Antes do resultado

Resultados visíveis já nas primeiras sessões

Corrija imperfeições
que incomodam no seu sorriso

Depois do resultado Antes do resultado

Ajustes sutis que fazem toda a diferença

Volte a sorrir com
confiança

Depois do resultado Antes do resultado

Um sorriso alinhado muda a forma como você se apresenta

Transformações que vão
além da estética

Depois do resultado Antes do resultado

Não é só um sorriso. É uma mudança real.

Veja mais resultados

Para quem é indicado?

Dra. Alice Vieira de braços cruzados olhando

Para quem evita sorrir em fotos ou ao conversar por insegurança do sorriso

Mulher sorrindo com a mão na boca

Está incomodado com dentes escurecidos ou com a aparência desgastadas

Antes e depois de clareamento dental

Possui imperfeições que chamam atenção e afetam sua autoestima

Um sorrindo com insegurança

Quer melhorar sua aparência e causar uma boa impressão ao sorrir

Pessoas sorrindo em público

Busca mais confiança no dia a dia, seja no trabalho ou na vida pessoal

Mulher sorrindo com confiança

Chega de se esconder. Transforme seu sorriso agora

Agendar pelo WhatsApp

Por que escolher a Dra. Alice Vieira?

Atendimento personalizado

Cada paciente é avaliado de forma única, com um plano pensado para suas necessidades e objetivos

Resultados naturais

Foco em estética equilibrada, garantindo um sorriso harmônico sem exageros

Técnicas modernas e seguras

Procedimentos atualizados com o que há de mais avançado na odontologia estética

Acompanhamento completo

Suporte em todas as etapas do tratamento, do primeiro atendimento ao resultado final

Agendar pelo WhatsApp

Tratamentos

Conheça os principais procedimentos realizados pelo Dra. Alice Vieira

Não sabe qual tratamento é ideal para você?

Agende uma avaliação personlizada

Agendar avaliação

Prazer, sou a Dra. Alice Viera

Cuidado, técnica e atenção aos detalhes em cada sorriso que transformo

Sou especialista em odontologia e meu foco é entregar resultados naturais, respeitando a individualidade de cada paciente.

Acredito que cada sorriso é unico — por isso, cada tratamento é pensado de forma personalizada, com atenção aos detalhes e equilíbrio estético.

Mais do que transformar sorrisos, meu objetivo é devolver a confiança e fazer com que cada pessoa se sinta bem ao sorrir novamente.

Especialista em Estética Dental
+10 anos de experiência
+2.000 pacientes atendidos

"Vou cuidar do seu sorriso com a mesma atenção que eu cuidaria do meu."

Depoimentos

Experiênciais reais de quem já transformou o sorriso com a Dra. Alice Vieira

“Meu sorriso mudou totalmente e hoje me sinto muito mais confiante no trabalho e na vida pessoa. Valeu muito a pena.”

Foto de Carlos Henrique

Carlos Henrique

Paciente

“O atendimento foi impecável do começo ao fim. A Dra. Alice explica tudo com calma e o resultado ficou melhor do que eu imaginava.”

Foto de Mariana Souza

Mariana Souza

Paciente

“Já tinha feito outros procedimentos antes, mas nunca tive um resultado tão bom. Ficou extremamente natural. Recomendo de olhos fechados!”

Foto de Jualiana Martins

Juliana Martins

Paciente

“Meu sorriso mudou totalmente e hoje me sinto muito mais confiante no trabalho e na vida pessoa. Valeu muito a pena.”

Foto de Carlos Henrique

Carlos Henrique

Paciente

“O atendimento foi impecável do começo ao fim. A Dra. Alice explica tudo com calma e o resultado ficou melhor do que eu imaginava.”

Foto de Mariana Souza

Mariana Souza

Paciente

“Já tinha feito outros procedimentos antes, mas nunca tive um resultado tão bom. Ficou extremamente natural. Recomendo de olhos fechados!”

Foto de Jualiana Martins

Juliana Martins

Paciente

Dúvidas Frequentes

Encontre respostas as perguntas mais comuns

Com que frequência devo ir ao dentista?

O ideal é visitar o dentista a cada 6 meses para limpezas de rotina e exames preventivos. No entanto, dependendo da sua saúde bucal, o dentista pode recomendar visitas mais frequentes para um acompanhamento adequado.

O clareamento dental enfraquece os dentes?

Não. Quando realizado por um profissional qualificado, o clareamento dental é seguro e não enfraquece os dentes. Pode ocorrer sensibilidade temporária durante o tratamento, mas a estrutura do esmalte não é prejudicada.

Qual a diferença entre implante e prótese?

O implante é um pino de titânio fixado cirurgicamente no osso maxilar para substituir a raiz do dente perdido. A prótese é a coroa ou o dente artificial visível que é fixado sobre o implante ou apoiado em dentes naturais.

É normal a gengiva sangrar ao usar fio dental?

Não é normal. O sangramento geralmente é um sinal de gengivite (inflamação da gengiva) causada pelo acúmulo de placa bacteriana. É importante continuar usando o fio dental suavemente e consultar um dentista para avaliação.

Quando as crianças devem fazer a primeira visita ao dentista?

A primeira visita ao odontopediatra deve ocorrer assim que o primeiro dente de leite nascer ou, no máximo, até o primeiro ano de vida da criança. Isso ajuda na prevenção e na adaptação da criança ao ambiente do consultório.

O que são lentes de contato dental?

São finas lâminas de porcelana coladas sobre a superfície dos dentes para melhorar a estética, corrigindo cor, formato e pequenos desalinhamentos. Elas exigem um desgaste mínimo ou nenhum desgaste da estrutura dental natural.

Pronto para conquistar o seu sorriso dos sonhos?

Agendar pelo WhatsApp